Wednesday, September 5, 2018

Meet Neph Sim: A Mobile-Friendly Nephrology Teaching Tool

Neph Sim (click to access the tool) is a mobile-friendly nephrology teaching tool designed for medical students, residents, and fellows.

Users choose an interactive case and work their way from history and physical exam  to diagnostics tests and ultimately the final diagnosis and case summary:


Neph Sim users can learn or teach how to establish a differential diagnosis, understand pathophysiology, and review urinalysis, ultrasound, kidney pathology, vascular access, kidney transplantation, acid-base physiology, electrolyte disturbances, and more.

Tutorials like "Pathology 101", "Spin Urine", and "Acid/Base" are available for reference:



Check out this video that describes the tool in more detail.

"Neph Sim", one of the winners of the 2018 ASN Innovation in Kidney Education Contest, was developed by Samira Farouk, MD (@ssfarouk) at the Icahn School of Medicine at Mount Sinai in New York, NY and Rachel Hilburg, MD (@RachelHilburg) at the Perelman School of Medicine at the University of Pennsylvania in Philadelphia, PA.

Monday, September 3, 2018

Nephro360: Virtual Reality & Gaming

Nephro360 (click for a video) is a tool designed to teach the pre-clinical nephrology curriculum and improve student engagement and learning using gaming and virtual reality (VR) tools.




"Nephro360", one of the winners of the 2018 ASN Innovation in Kidney Education Contest, was developed by Aleksandr Vasilyev, MD, PhD, Dylan Carmichael, and Ivan Bandovic at the New York Institute of Technology College of Osteopathic Medicine.


Thursday, August 30, 2018

2009 RFN Poster From Nate Hellman

Hector Madariaga pointed out that Nate blogged about a long forgotten poster from ASN Renal Week 2009. Long before it was even called Kidney Week. I pulled up the abstract program from 2009 and found it. I recall going to his poster as I was an avid follower of RFN and a friend of Nate. However, this was well before phones were ubiquitous and I have no direct photo evidence of attending. Reading the abstract is impressive. A few things to note about this abstract. First, Nate blogged in 308/365 days in an entire year! I don't believe this feat will ever be matched. Impressive! Second, the future section is very interesting and I believe Nate would be proud to see the website live on. Now in the 10th year of RFN let's all cheers to Nate and another 10 years of RFN.

Tuesday, August 28, 2018

August Nephrology Web Episode CPC available

The August installment of the Wash U Nephrology Web Episodes are back for more renal pathology in CPC style format.  The case was discussed on Glomcon a few months back, but for those that missed it, you can still learn a lot in this format.


Our discussant is 2nd year fellow Dr. Miraie Wardi, who also just returned from the annual Nephrology Business Leadership University (NBLU) meeting, and we also discuss her incredible experience there. 

Want to learn about Hemodialysis Access? Here's "Hemodialysis Access 101"!

Hemodialysis Access 101 (click to access the tool) is an online interactive teaching tool that focuses on teaching hemodialysis access from a nephrologist's perspective. It consists of 3 main sections:

  • Animated concept videos describe HD access creation, function, examination, and complications

                                        

  • Real patient videos with features that simulate a bedside teaching session with a focus on access examination



  • 5 simulated cases of access complications that are structured step-by-step from the point of patient presentation at the hemodialysis unit through physical examination, diagnostic tests, and intervention in a fun, thought provoking, and interactive manner

                                          


Check out this video that describes the tool in more detail.

"Hemodialysis Access 101", one of the winners of the 2018 ASN Innovation in Kidney Education Contest, was developed by Namrata Krishnan, MD (@NamrataKrishna3) and Gowthaman Gunabushanam, MD at the Yale School of Medicine/Veterans Affairs Medical Center in Connecticut.

Saturday, August 18, 2018

The Dual Role of the Nephrologist in Patient Care

Nephrologists face many daily challenges in their role managing chronic kidney disease (CKD). CKD is an expensive and debilitating condition that affects approximately 14% of Americans. Adding to this list of challenges is the fact that nephrologists often assume the role of primary care physician to patients with end-stage kidney disease (ESKD) who require chronic dialysis. In one study, 90% of surveyed nephrologists responded that they provide primary care to their patients receiving chronic dialysis. According to these same nephrologists, only 20% of these patients had another primary care physician. Nephrologists, in their role as primary care providers, offer general health care counseling, preventive care, referrals, immunizations, and care of minor acute illnesses that are unrelated to a patient’s kidney failure. However, this same survey concluded that nephrologists, while providing these essential services, often fail to conform to the standard guidelines of primary care provision. Furthermore, nephrologists do not address women’s health issues as much as primary physicians do. According to a Canadian study conducted in 2005, 80% of nephrologists and 85% of family physicians think that dialysis patients should receive primary care from primary care providers (PCPs) and not from nephrologists. In addition, the study showed that there was rampant miscommunication between members of these two fields, leading to “duplication or omission of services.” Indeed, it remains unclear whether there is evidence for benefit for increased access to nephrologists.

Where nephrologists are likely to excel is in the management of conditions that are comorbid with ESKD, including diabetes mellitus (which 90% of nephrologists surveyed said they manage), cardiac disease (75%) and gastrointestinal disease (69%). Nephrologists are better-equipped than primary care physicians to manage the wide-reaching effects of ESKD, which affects multiple bodily systems in unique ways. Because conditions like ESKD need to be considered in virtually every healthcare decision made by their doctor, the expertise of nephrologist is critical in medical decision making. For instance, in managing diabetes special care must be taken in the administration of anti-hyperglycemic agents as the pharmacokinetics and patient response may be drastically altered by the presence of ESKD.

As Bender and Holley note,
 “caring for patients with chronic kidney disease…requires the broad-based approach characteristic of primary care medical practice.” 
Simply by virtue of being experts in ESKD, nephrologists become better primary care physicians for these patients. On the other hand, there are significant issues with nephrologists acting as PCPs.

Should we include training in primary care in nephrology fellowship curricula to achieve parity in acting as PCPs? Unfortunately, this comes at a time where 40% nephrology fellowships are going unfilled and a shortage of nephrologists is predicted further hampering efforts due to time constraints in seeing patients. One glimmer of hope is Medicare has recently designated the dialysis unit as an originating center for telehealth services, but services provided still fall under the monthly capitated premium limiting reimbursements for time-pressed nephrologists. Finally, the question of whether more contact time with their nephrologists improves outcomes for patients with ESKD remains.

Open communication between individual nephrologists, PCPs, and the leaders of their respective academic fields is necessary if the American medical community is to optimize kidney care. Whether nephrologists should serve as PCPs for their patients with ESKD remains an open question. The benefits of knowledge of pearls and pitfalls of treating dialysis patients is intuitive, but significant hurdles remain including time limitations, reimbursement for services, adequacy of training, and lack of evidence base.

Noah Lieberman, University of Pennsylvania
Nathaniel Reisinger @Nephrothaniel

Wednesday, August 1, 2018

Alport Syndrome



I recently saw a patient in clinic with long-standing hematuria with numerous family members on her mother’s side with hematuria.  She now presented with proteinuria but stable renal function.  Collagen IVa disease was highly suspected and genetic sequencing identified a heterozygous carrier for a previously characterized pathogenic mutation in Col4a5.

In the process of taking care of this patient who was heterozygous for X-linked Alport’s syndrome, I wondered, “Who is Dr. Alport?”.
Dr. Arthur Cecil Alport was a physician originally from South Africa who attained his medical training in Edinburgh, Scotland. He had many different interests initially studying malaria abroad and then practicing medicine in London before becoming a Professor in Egypt where he fought for the care of poor patients.  He showed that with careful observation one can provide valuable insights into a specific disease. 
Dr. Alport was not the first to identify the entity of hereditary hemorrhagic nephritis.  Initially, William Howship Dickinson described a family with 11 out of 16 members with albuminuria in 1875.  Subsequent studies by Guthrie and Hurst identified families with hematuria and kidney disease of varying severity.  Dr. Alport saw a patient from the Guthrie/Hurst cohort which he further studied and published with the title, “Hereditary Familial Congenital Haemorrhagic Nephritis”, in the British Medical Journal in 1927 which led to the identification of the disease as Alport’s syndrome. 
In this paper, he found a number of female members of the family had hematuria but did not develop edema, heart failure, and kidney failure, a fate reserved for a selected few male members of the family.  He also noted numerous female members with profound deafness that at time was not associated with hematuria.  Though he acknowledged the hereditary nature of this disease, he also found hematuria and albuminuria were exacerbated by streptococcal infection which he had limited success in recreating in rabbits. 
The history of medicine often provides an interesting context for our current understanding of human disease.  By observing the association of deafness in families with hereditary hematuria, Dr. Alport brought to light a key identifier of the disease entity.  This identification ultimately led to the disease to be associated with his name though the renal phenotype of familial hematuria was discovered by prior investigators.
Posted by Ankit Patel, Nephrology Fellow, Joint BWH/MGH Fellowship Program

Friday, July 27, 2018

APOL1 risk alleles and renal transplant function: time for Mission APOLLO


APOL1 is the newest addition to the list of CKD risk factors- possibly never before in the history of nephrology has a gene associated with such a high odds ratio with disease - above 7 for hypertensive CKD & >10 for FSGS. A gene that confers heterozygous survival advantage when present as a single variant allele, but two variants lead to high CKD risk - APOL1 on chromosome 22. A similar picture of the survival advantage is seen with sickle cell disease. For more on the fascinating story of APOL1 itself, see this open access review, NephMadness coverage from 2015, and the NephJC coverage of a more recent research.
A recent study has shown increased risk of CKD and subsequent ESKD in a population of black kidney donors with high risk APOL1 genotype. High risk is defined as presence of two variants (G1 and G2 – so any combination G1/G1, G1/G2 or G2/G2 is high risk) and was associated with faster progression of renal dysfunction and lower pre- and post-donation eGFR (pre-eGFR 98 versus 108; p= 0.03 and post-eGFR 58 versus 68; p=0.01) over a median follow up of 12 years. The second part of the study involved comparison between these donors and non donors from the CARDIA cohort (Coronary Artery Risk Development in Young Adults), based on APOL1 genotype status. After median 11 years, there was no difference in eGFR decline between the two groups when segregated based on genotype status, indicating that it was the genotype which influenced the eGFR decline and not the donation. Other salient features in the study were:
  • 2 donors in the high risk group developed ESRD at 10 and 18 years of donation (11 %, but there were only 19 in this group).
  • 78% of the donors were first degree relatives of the recipients. So the fact that a substantial percentage of donors were at risk of subsequent renal disease in this study does raises some valid concerns. Should all black donors be genotyped before transplantation?

An original article published in the Annals of Surgery recently studied eligible kidney donors (n=3438) from the CARDIA cohort of 1985-86 and deduced some risk scores based on the clinical and genetic profile of this population. They projected the 25 year pre-donation risk of CKD (eGFR <60ml/min) or microalbuminuria or macroalbuminuria in an 18 year old and a 30 year old potential donor. This risk is for people with no clinical risk factors (family history/pre-hypertension/diabetes). The risk increases significantly if any of these risk factors are present. See the table for some examples (EA – European American; AA – African American):



















How about the risk to the recipients? Case reports have shown development of post transplant FSGS in siblings and monozygotic twins, both in the donor and in the recipient. Data from other studies have shown increased risk of allograft failure in recipients if the donor has a high risk genotype. All these data clearly point to the risk of CKD and subsequent ESKD in AA individuals (both donors & recipients) following transplantation. This brings us back to the most pertinent question, should people of African ancestry be genotyped for APOL1 prior to transplantation? The present studies are not well equipped to answer this question. Though it may seem that one obviously should screen (‘11% of donors with high risk variants develop ESRD!’ ‘High risk variants increase graft failure in recipients!’), lets pause and consider this. We know that live donor transplantation is the modality that offers the best survival. We also know that minorities, in US as well as in UK and elsewhere, have a lower rate of live donor transplantation (see NephJC coverage of a recent JAMA study and the ATTOM study, as well as the NephMadness coverage from 2017 on disparities in transplantation). So, would genotyping worsen the disparity? Is our fate inextricably written in our genes? Enter APOLLO.

APOLLO, APOL1 Long-Term Kidney Transplantation Outcomes Network, is a prospective study aimed at  genotyping donors and recipients in transplants involving recent African ancestry in United States and monitoring long term follow up. This will shed more light on this question and even might have a decisive influence on the present KDRI (kidney risk donor index), replacing the race column with APOL1 genotype. We await this important piece of work with interest.

Post by Sriram Sriperumbuduri

Sunday, July 15, 2018

Primary Membranous Nephropathy



The landscape of Primary Membranous Nephropathy (PMN) has significantly changed over the last decade. Most of what we now understand about the pathogenesis of PMN is derived from the Heymann Nephritis model in rats. In 1959, Dr. Walter Heymann published this landmark article, which established the autoimmune nature of the disease. In the late 1970s, two groups (Dr. Couser et al in Boston and Dr. Van Damme et al in the Netherlands) established that the deposits of Heymann Nephritis were not from circulating immune complex trapping, but due to in situ formation. The rat antigen was eventually identified as megalin. The human antigen equivalent remained unknown until much later. Finally, 2009, Salant, Beck et al found that 70% of adult patients with “idiopathic” membranous nephropathy had antibodies against M-type phospholipase A2 receptor (PLA2R), a transmembrane glycoprotein found on podocytes. Soon after, another podocyte transmembrane glycoprotein called thrombospondin type-1 domain-containing 7A (THSD7A) was discovered (See NEJM 2014; 371(24):2277-2287).

Now, approximately 85% of PMN is found to be mediated by anti-PLA2R or anti-THSD7A, with still 15% of PMN “idiopathic”. With a serologic test for anti-PLA2R now commercially available as well as a biopsy immunofluorescent stain, the diagnosis and management of patients with PMN has been completely revamped.

For more on this discussion, please join us in the next GlomCon Interactive Fellows’ Curriculum on Tuesday, July 17th at 11 am eastern time. We will be walking through a case scenario as we review several different aspects of PMN.

To join the meeting go to: https://glomcon.zoom.us/ and select 'Join a Meeting'. Enter the Meeting ID into the web site (or connect directly from your Zoom app).
Meeting ID: 394-801-817
You HAVE to be logged into ZOOM to join the session. You may either create a free ZOOM account, or sign in through a Google or Facebook account (if you have one).   

Alternatively, use your institution's 'Polycom' system, enter IP address:
US West: 162.255.37.11
US East: 162.255.36.11
Europe: 213.19.144.110
Then, enter the Meeting ID: 394-801-817

Tuesday, July 10, 2018

Anemia post-transplantation

A 20-year-old female had Henoch-Schönlein purpura since age 9 leading to ESRD. She underwent kidney transplantation in 2018 from a live donor (mother) and received induction immunosuppression with thymoglobulin (100 mg once) followed by maintenance with tacrolimus (6 mg twice a day), mycophenolate sodium (720mg twice a day) and prednisone (30mg daily). The patient was discharged 5 days after surgery, with creatinine 0.9 mg/dL with tacrolimus trough level of 9.2 ng/mL.

Before surgery, the hemoglobin level ranged from 12.1g/dL to 11.6g/dL. At the time of medical discharge Hb was 9.8g/dL. During the follow-up, the patient was asymptomatic, with no increase in creatinine level and with good trough tacrolimus level (range of 8-12 ng/ml). However, at 2 months post-transplant, she developed worsened anemia with a hemoglobin of 6.1g/dl. At this time, the patient remained asymptomatic. She was then referred to the ED.

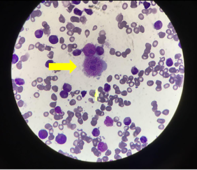
The exams at the time showed: hemoglobin 6.2 g/dL; reticulocyte 0.29%; haptoglobin 89 mg/dL; LDH 220 U/L. Subsequently, a bone marrow aspirate was performed and showed a giant pronormoblast with prominent nuclear inclusions, characteristic of parvovirus B19 infection.(FIGURE 1)

The patient received 2 doses of intravenous immunoglobulin (1g/kg/day) and was switched from tacrolimus to everolimus.

Anemia is a very common finding during post-kidney transplant consults. It is not uncommon to have patients that remain with anemia in the first 3 moths after the procedure. Read more here. (FIGURE 2)

The lack of large case series would make us imagine that parvovirus B19 infection after kidney transplant is rare. The incidence in post-transplant is not easy to estimate (range from 1-10%) and mostly occur in the first year, suggesting donor transmission, as described here.  Also, anemia is a common finding after kidney transplant and may have many other differentials that would appear higher on the list, including drug-induced myelosuppression and bleeding. Additionally, parvovirus B19 surveillance is not performed in routine clinical practice.

 A 2006 review from Mayo Clinic showed that among 98 patients with PVB19 infection after transplantation, 54% were kidney transplants, 9% liver transplants, 12% heart or lung transplants and 24% autologous or allogeneic HSCT recipients. The mean age of the patients was 35.2 ± 17.1 years. The majority (58%) were male. The median time to onset of parvovirus B19 disease was 1.75 months (range, 1 week–96 months) after transplantation. Overall, this study suggested that kidney recipients are in particular susceptible to parvovirus infection and that timing of presentation is variable though highest in the early period post-transplant. (FIGURE 3). Finally, it is reasonable to think that the magnitude of parvovirus B19 infection is underestimated.

Dr Felipe Paste
São Paulo, Brazil

Friday, July 6, 2018

Free eBook on Acid Base

Benjamin Abelow's book: The Painless Guide to Mastering Clinical Acid-Base is available again as a free download in recognition of the new class of incoming nephrology fellows. We have highlighted this book in the past. It is a great primer on Acid-Base for trainees - easy to read and very informative. 

The details on how to access the offer are below. It will be available for a limited time only. 

To download a free ebook copy of The Painless Guide to Mastering Clinical Acid-Base, follow the numbered steps below. You will be downloading directly from Amazon, where you can also read editorial reviews of the book. The ebook is a Kindle file type. Apps are available for all devices: phones, tablets, and laptops, including Apple, Android, and Windows. The ebook will be available for free for three days, Sunday, July 8 - Tuesday, July 10

To Download:

1.  During the period Sunday, July 8 - Tuesday, July 10 click here: https://www.amazon.com/Painless-Guide-Mastering-Clinical-Acid-Base-ebook/dp/B06XRM56TY

2.  Be sure you’re on the page for the e-book (Kindle) edition, not the paperback. During the three days in questions, it should say, "Kindle Price: $0.00."

3.  Click on “Buy now with 1-Click.” (Do not click on “Read for Free,” as that leads to the “KindleUnlimited” program, which has a monthly fee.)

4.  If you don’t already have a Kindle app on your device, you can easily download one. Just go to your usual on-line source for apps and search “Kindle.” The apps are available for all types and makes of devices. You can download to multiple devices associated with your Amazon account.

Thursday, July 5, 2018

Congratulations New Fellows

Congratulations to the incoming class of Nephrology fellows!
I’m one of you! I went to way too many interviews and had the pleasure of meeting several passionate nephrologists and fellows. I’m confident that there are a lot of amazing, talented physicians among us.
While we may not meet each other again until our 2nd year of fellowship, I was hoping we could plan to build a stronger social network to stay abreast of the year ahead of us and affect change.
As a start, I wanted to point out a few resources available for us to use once we’re fellows in July of 2018: 1. Societies: Sign up to ASN, NKF and ISN. It’s free for fellows and gives you access to journals [Like JASN and CJASN through ASN; KI through ISN], NephSAP and grants for travel and research. ASN allows you to sign up for free as a resident, so, you could start there for now. 2. Travel Grants: Once you enter your second year, you’ll be able to go to several conferences. Here’s a running list of courses and conferences, several of which offer travel grants for fellows. [P.S: If you’re a medical student/resident, ASN and NKF have travel grants for conferences for you too!] 3. Grants. As your research interests develop, feel free to look here for opportunities for funding. 4. Social media. Please join the Renal Fellow Network blog [this one right here!], twitter and the NSMC [Nephrology Social Media Collective]. While the NSMC has already enlisted their amazing group of interns, applications will be open again for the next year. For this year, NSMC was accepting applications till January 1st, 2018.
There are several challenges that I’m aware of facing us in nephrology today. I’m going to list a few in the hopes that you will find some of these areas to be worth your while to work on in the near future.
As I write this, health policy in the field of nephrology is changing. For instance, a bill was introduced in October, 2017, which, on the surface appears to provide integrated care for dialysis patients. However, I have some concerns related to the bill pertaining to its ability to limit small and medium sized dialysis organizations from functioning, in addition to further severing the transitions of care between CKD and dialysis for patients. We need more physicians discussing bills like this in private and in public to help advocate for the future of our profession as well as our patients. As a group, we can make a difference.
The reputation of nephrology among medical students and residents has also changed over the last few years. Currently, I do not believe there are consistent websites or resources for interested applicants to look at to make an informed decision on nephrology. While there are a lot of negative things that are being said about our field, you are all here for a reason. I hope that we can use this blog to reinforce our reasons and convince future applicants to make the right choice for their career, whatever it may be.
One of the easiest and productive ways for us to make a difference in health policy, education, recruitment, clinical research and our career as nephrologists is to improve our collective social presence. This is why I think it’s important for you to consider joining this blog or the NSMC, if you haven’t already. [links above]
The Renal Fellow Network blog was created to be by the fellows and for the fellows. I hope you will join me in keeping that promise. Posted by Yuvaram Reddy